さいたま市、東大宮駅すぐの歯医者、マスダ歯科医院です。
現在、当院での矯正はインビザラインなどアライナー、マウスピース矯正が約90%の患者様で適応しておりますが、お口の状態によってはワイヤー矯正とマウスピース矯正を併用する場合やワイヤー矯正のみで治療を終了する場合もございます。
そこで今回はワイヤー矯正とは何か、ワイヤー矯正治療を適応した症例についてお話していきます!

ワイヤー矯正とは
歯にブラケットという矯正器具を装着し、ブラケットにワイヤーを通すことで、歯に力を加えて徐々に歯を動かす矯正方法です。



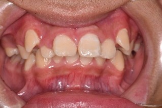
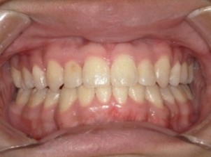
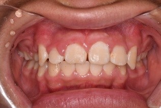
(初診時) (ワイヤー除去前) (ワイヤー除去後)
※この方はワイヤー矯正後、マウスピース矯正に移行しています

ワイヤー矯正の仕組み
歯の周りには歯を支える骨(歯槽骨)があり、歯と歯槽骨の間にはクッションのような役割をしている歯根膜という薄い膜があります。歯根膜に力を加えるとワイヤーの力によって歯根膜が縮み、もとの厚さに戻ろうとする際に骨を溶かす細胞ができ、歯が動く方向にある骨を溶かします。
そして、歯が動く方向とは逆の歯根膜が引き伸ばされ、伸びた歯根膜がもとの厚さに戻ろうとして骨をつくる細胞ができます。その結果、歯を動かす際にできた隙間に骨が作られます。
このように、歯を溶かしたり、つくったりを繰り返すことで、少しずつ歯を動かすことがワイヤー矯正の仕組みです。

ワイヤー矯正のメリット
- 矯正装置の自己管理が必要ない
ワイヤー矯正の装置はご自身で取り外しができません。そのため、矯正装置の装着時間の管理などが必要なく、治療を進めることができます。
- 適応可能な症例の幅が広い
ワイヤー矯正は効率よく歯を移動することができ、細かな調整がしやすいです。他の歯列矯正では難しい歯並びでも対応できる場合があるでしょう。
特に抜歯が必要な方など大きな歯の移動が必要な場合おすすめしております。
ワイヤー矯正のデメリット
- 矯正装置が目立つ
ワイヤーやブラケットを歯の表面につけるのでどうしても矯正装置が口を開けたときに見えてしまいます。
- 虫歯になりやすい
ワイヤーやブラケット周りのブラッシングがとても難しく歯垢や汚れがたまりやすくなるため、虫歯になりやすくなります。歯ブラシの当て方がとても重要になるため、歯科医師や歯科衛生士から磨き方を教わり、虫歯にならないようにしていくことが大切です!
歯ブラシの当て方

ワンタフトブラシの当て方

続いて先ほど説明いたしましたが、マスダ歯科医院では歯の移動が大きい場合、ワイヤー矯正後にマウスピース矯正を行っております。

(↑矯正治療前)
こちらの患者様は前歯の歯並び改善を目的に来院されました。患者様の歯をきれいに並べるには歯列のスペースが足りなかったため抜歯を行い、その後ワイヤー矯正から行っていきました。

(↑ワイヤー矯正後)
ワイヤー矯正は、歯にブラケットとワイヤーをつけていきます。その後1~2か月毎に歯科医院にきてクリーニングや虫歯の有無、歯並びの状態などを確認と調整をしていきます。ある程度並んだ後、ブラケットとワイヤーを外してマウスピース矯正に移行しました。

iTeroという器械です。口腔内をスキャンし、マウスピースをたくさん作ります。

マウスピース矯正(インビザライン矯正)はアタッチメントという歯を動かすための樹脂のでっぱりをつけていきます。

スペースが足りない場合はスライスという歯と歯の間を削る処置を行うこともあります。マウスピース矯正は家で行うことができますが、マウスピースをつけていないと歯は動きません。

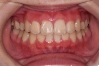
(↑マウスピース矯正後)
1~2か月毎にワイヤー矯正と同様に経過観察に来ていただきます。上の写真がマウスピース矯正後の口腔内です。きれいな歯並びになりました!
他、ワイヤー矯正からマウスピース矯正移行症例はこちらになります。

(初診時) (ワイヤー矯正後) (マウスピース矯正後)

(初診時) (ワイヤー矯正後) (マウスピース矯正後)
今回はワイヤー矯正とは何か、ワイヤー矯正を適応した症例についてお話してきました。マスダ歯科医院では、矯正治療の前に一度口腔内の検査(レントゲンや型どりなど)を行い、金額や期間、治療内容を精査し、後日説明を行っています。
その他ご不明な点がございましたら、マスダ歯科医院のホームページをご覧ください。
(歯科衛生士 大井)



ホーム
スタッフ紹介
医院・設備紹介
アクセス
お問い合わせ







