インプラント症例紹介
骨移植材を用いない
サイナスリフト術▼クリックして開閉できます
- BEFORE

上顎洞底挙上術(サイナスリフト術)
- AFTER

上顎洞底挙上術(サイナスリフト術)
- BEFORE

- AFTER

- BEFORE

- AFTER

サイナスリフト術▼クリックして開閉できます
- BEFORE

上顎洞底挙上術(サイナスリフト術)
- AFTER

上顎洞底挙上術(サイナスリフト術)
- BEFORE

- AFTER

- BEFORE

- AFTER

| 年代・性別 | 40代・女性 |
|---|---|
| 主訴 | 右上の奥歯が破折 |
| 治療部位 | 右上6・7 |
| 治療内容 | 右上5・6・7Brを5・6間で切断。歯根破折により7番を抜歯した。抜歯後、欠損部に対し、入れ歯・ブリッジ・インプラントの説明をしたところインプラント治療を希望した。インプラント治療を行う上で骨の高さが足りない為、移植材を用いないサイナスリフト術を併用することにした。移植材を用いないサイナスリフトはインプラント治療の同意を得て右上6・7に静脈内鎮静下にてインプラント埋入手術・サイナスリフト術を行った。骨とインプラントの結合を待ち6カ月後に2次手術・プレート除去を行い、上部構造をセットした。現在メインテナンスを行っている。 |
| 金額(税込) | 1,056,000円(税込) |
| 治療期間 | 7カ月 3年経過(2023年7月現在) |
| リスクと副作用 | 静脈内鎮静法により術後生活に制限あり。 (当日のみ) また、術後痛み・腫れを伴う可能性がある。骨移植材を併用するサイナスリフトに比べマスダ歯科で行っている移植材を用いないサイナスリフトは手術の難易度は高いが上顎洞炎のリスクは非常に低いとされている。院長の増田は骨移植材を用いないサイナスリフトについて様々な学会で講演や論文発表している。※基本的にマスダ歯科では、ショートインプラントやソケットリフト術が行えない場合、サイナスリストを行っている。 マスダ歯科のインプラント詳細はこちら |
ソケットリフト術を併用した
インプラント埋入▼クリックして開閉できます
- BEFORE

- AFTER

- BEFORE

- AFTER

- BEFORE

- AFTER

インプラント埋入▼クリックして開閉できます
- BEFORE

- AFTER

- BEFORE

- AFTER

- BEFORE

- AFTER

| 年代・性別 | 60年代・女性 |
|---|---|
| 主訴 | 左上奥歯あたりの歯肉にできものができたり、つぶれたりしている。 |
| 治療部位 | 左上6・7 |
| 治療内容 | 左上6と左上7部位の検査を行い、その二本の歯は残せない状態と判断したため抜歯を行った。抜歯から数カ月後に CTで骨の状態を確認したのち、インプラント説明を行い、同意を得てインプラント治療を開始した。CTの結果からインプラントを埋入するにあたって、骨を挙上する工程が必要と判断した。そのため、ソケットリフト術をインプラント埋入時に同時に行った。手術後、骨とインプラントの結合を4カ月ほど待ち、型取りを行い、上物を入れた。 |
| 金額(税込) | 685,000円(税込) |
| 治療期間 | 5カ月間 (2023年6月時点で11年経過) |
| リスクと副作用 | 手術後、痛みと腫れを伴う可能性があり、ソケットリフト術を行った場合には鼻血が出る可能性もある。痛みは痛み止めで治まる程度の痛みであり、翌日から日常へ復帰可能。食事もインプラントに負担がかからないように気を付ける必要があるが、食事に制限などはない。 マスダ歯科のインプラント詳細はこちら |
インプラント前歯部外傷難症例
(ブロック骨移植)▼クリックして開閉できます
- BEFORE

- AFTER

(ブロック骨移植)▼クリックして開閉できます
- BEFORE

- AFTER

| 年代・性別 | 18歳・男性 |
|---|---|
| 主訴 | 6歳の時に交通事故で脱臼した歯の揺れ |
| 治療部位 | 21、22 |
| 治療内容 | 6歳の時に交通外傷により、歯が完全脱臼。他歯科医師では予後不良と判断されるも院長により整後固定。元々成長が止まるまでの間持たせるだけ持たせると説明はしていた。体の成長が止まり、最近になり動揺が強くなったため、抜歯(21、22)を行った。骨の回復を待ち、静脈内鎮静下で抜歯部位にブロック骨移植を行いインプラントを2本埋入。 |
| 金額(税込) | 1,100,000円(税込) |
| 治療期間 | 8カ月(骨移植も含み) 4年経過(2024年3月時点) |
| リスクと副作用 | 手術部位(移植部位を含む)の疼痛 インプラント周囲炎 マスダ歯科のインプラント詳細はこちら |
上顎フルマウスと下顎2本の
インプラント症例▼クリックして開閉できます
- BEFORE

- AFTER

インプラント症例▼クリックして開閉できます
- BEFORE

- AFTER

| 年代・性別 | 70代・男性 |
|---|---|
| 主訴 | 今使っている入れ歯が合わず、嚙むと痛い |
| 治療部位 | 15~26、36、45 |
| 治療内容 | 上下顎インプラント埋入術(上顎5本、下顎2本)を、2回に分けて実施。26部はソケットリフトを適用し、2回法で実施。他部位は1回法。 |
| 金額(税込) | 29,000,000円(税込) |
| 治療期間 | 7カ月(インプラント埋入から上部構造装着まで) 12年経過例(2024年3月時点) |
| リスクと副作用 | 手術部位の腫脹、疼痛 マスダ歯科のインプラント詳細はこちら |
サイナスリフト術▼クリックして開閉できます
- BEFORE

- AFTER

- BEFORE

- AFTER

| 年代・性別 | 50代・女性 |
|---|---|
| 主訴 | 右上の歯が痛い |
| 治療部位 | 右側上顎第一大臼歯部 |
| 治療内容 | 右側上顎第一大臼歯抜歯 骨補填材を用いないサイナスリフト術(インプラント同時埋入) |
| 金額(税込) | 631,800円(税込) |
| 治療期間 | 8カ月(2017年3月終了 2023年12月時点6年経過) |
| リスクと副作用 | 術後疼痛、上顎洞炎(骨補填材を使用しないためきわめて安全である) ※一般的に行われているサイナスリフトには骨補填材が使用されている。 マスダ歯科のインプラント詳細はこちら |
インプラント前歯審美症例①▼クリックして開閉できます
- BEFORE

- AFTER

- BEFORE

- AFTER

- BEFORE

- AFTER

- BEFORE

- AFTER

- BEFORE

- AFTER

- BEFORE

- AFTER

| 年代・性別 | 40代・男性 |
|---|---|
| 主訴 | 被せ物がぐらついて抜けそう |
| 治療部位 | 右上1 |
| 治療内容 | 右上1を抜歯後、骨の回復を待ち、インプラント埋入手術実施。 骨とインプラント体の結合を約3カ月待ったのち、プロビジョナルレストレーション(インプラントの仮歯)を装着した。 その後審美的な問題がないことを確認し、最終的な型取りを行い、上部構造を装着した。 |
| 金額(税込) | 429,000円(税込) |
| 治療期間 | 約5ヵ月(インプラント埋入から上部構造セットまで) 9年経過(2024年4月時点) |
| リスクと副作用 | 術後疼痛・腫脹・インプラント周囲炎 マスダ歯科のインプラント詳細はこちら |
インプラント前歯審美症例②▼クリックして開閉できます
- BEFORE

- AFTER

- BEFORE

- AFTER

- BEFORE

- AFTER

- BEFORE

- AFTER

- BEFORE

- AFTER

- BEFORE

- AFTER

| 年代・性別 | 40代・女性 |
|---|---|
| 主訴 | 他院で抜歯をし、インプラントの話が聞きたい |
| 治療部位 | 右上1 |
| 治療内容 | 口腔内検査後インプラント説明を行い、仮歯を作成した。 同意書をとった後、インプラント埋入手術及びリッジエキスパンジョン(骨を広げる方法)を行った。 約3~5か月程骨結合を待った後、上部構造の型取りを行い、プロビジョナルレストレーション(インプラントの仮歯)で調整を行い、問題ないことを確認した後に、上部構造を装着した。 |
| 金額(税込) | 473,000円(税込) |
| 治療期間 | 約5ヵ月(上部構造set後9年経過) |
| リスクと副作用 | 術後疼痛、腫れ、食べ物が手術部位に当たらないよう注意する。 インプラント周囲炎にならないようメインテナンスが重要。 マスダ歯科のインプラント詳細はこちら |
インプラントブリッジ症例▼クリックして開閉できます
- BEFORE

- AFTER

- BEFORE

- AFTER

| 年代・性別 | 50代・男性 |
|---|---|
| 主訴 | 前歯が抜けて、ぐらついているところもある インプラントを考えている |
| 治療部位 | 上の右5~左5、左下の3~5 |
| 治療内容 | 抜歯が必要な歯を抜歯すると同時に、仮義歯を入れた。 下顎の歯列に不正(咬合平面が斜めになっている)があり、ある程度咬合は挙上して改善はできるが限界があることを説明し、同意を得られた。 骨が治るのを待ってから、1次オペを開始した。 1次オペでは右上の3・4相当部以外は一回法で行い、1次オペから3ヵ月後に右上の3・4部位に2次オペを行った。 その後、プロビジョナルレストレーション(インプラントの仮歯)にて咬合平面をある程度改善し、顎位等問題ないことを確認し、最終上部構造をセットした。 |
| 金額(税込) | 3,432,000円(税込) |
| 治療期間 | 下顎は約4カ月間、上顎は約5カ月間 2年経過(2024年3月時点) |
| リスクと副作用 | 手術後は、痛みを伴う可能性あり。 腫れは術後48時間後がピーク。 食事もインプラントに負担がかからないように気を付ける必要がある。 また、インプラント歯周炎にならないようにメンテナンスも大事になってくる。 マスダ歯科のインプラント詳細はこちら |
即時荷重(手術したその日に
噛めるようになる方法)▼クリックして開閉できます
- BEFORE

- 手術直後

- AFTER

噛めるようになる方法)▼クリックして開閉できます
- BEFORE

- 手術直後

- AFTER

| 年代・性別 | 50代・女性 |
|---|---|
| 主訴 | 義歯が合わない |
| 治療部位 | 全顎治療 |
| 治療内容 | 上下顎に4本ずつインプラントを追加埋入し補綴治療を行った。 手術当日にプロビジョナルレストレーションをセットし即時荷重を行った。 |
| 金額(税込) | 5,145,000円(税込) |
| 治療期間 | 8カ月(2023年7月現在 10年以上経過) |
| リスクと副作用 | 術後の痛み、即時荷重後にインプラントが失敗することがあるがマスダ歯科ではほとんどの症例で最終補綴まで問題なく経過している。
マスダ歯科のインプラント詳細はこちら |
サイナスリフト術を併用した
インプラント埋入▼クリックして開閉できます
レントゲン経過
①左上のサイナスリフト術を併用したインプラント埋入
- 術前

- 術後

②右上のサイナスリフト術を併用したインプラント埋入
- 術前

- 1次手術後

- 術後

- 初診

- 現在

口腔内所見
- 術前

- 術後

インプラント埋入▼クリックして開閉できます
レントゲン経過
①左上のサイナスリフト術を併用したインプラント埋入
- 術前

- 術後

②右上のサイナスリフト術を併用したインプラント埋入
- 術前

- 1次手術後

- 術後

- 初診

- 現在

口腔内所見
- 術前

- 術後

| 年代・性別 | 80代・女性 |
|---|---|
| 治療部位 | サイナスリフト左上6・7、右上4・5・6 |
| 治療内容 |
|
| 金額(税込) |
右上サイナスリフト+右上4・5・6インプラント埋入 検査代22,000円 サイナスリフト165,000円 インプラント本体187,000円×2 光機能化処理 11,000円 アバットメント11,000円×2 上部構造代55,000円×3 合計 759,000円(税込) |
| 治療期間 |
|
| リスクと副作用 | 上顎洞炎のリスクあり。 静脈内鎮静法により術後生活に制限あり。(当日のみ) また、術後痛み・腫れを伴う可能性があり。 サイナスリフト術により鼻血が出やすくなるため3週間ほど注意が必要。 マスダ歯科のインプラント詳細はこちら |
一本のインプラント埋入①▼クリックして開閉できます
- BEFORE

- AFTER

- BEFORE

- AFTER

- BEFORE

- AFTER

- BEFORE

- AFTER

- BEFORE

- AFTER

- BEFORE

- AFTER

| 年代・性別 | 40代・女性 |
|---|---|
| 主訴 | 右下の歯に違和感がある |
| 治療部位 | 右下6 |
| 治療内容 | 右下6のCT撮影をしたところ、根尖性歯周炎により歯が残せない状態と判断したため抜歯した。その後、患者がインプラント希望であったため、抜歯した部位の骨が治ってきてから再度CT撮影を行った。骨が十分あることを確認した後にインプラント手術を開始することとした。手術後、骨とインプラントの結合を3カ月ほど待ち、型取りを行い、インプラントをいれた。 |
| 金額(税込) | 400,000円(税込) |
| 治療期間 | OPE日:2012年4月 set日:2012年9月(合計5カ月) 最終来院日:2023年5月(2023年6月の時点で11年経過) |
| リスクと副作用 | 手術後、痛みと腫れを伴う可能性があり、ソケットリフト術をおこなった場合には鼻血が出る可能性もある。痛みは痛み止めで治まる程度の痛みであり、翌日から日常へ復帰可能。食事もインプラントに負担がかからないように気を付ける必要があるが、食事に制限などはない。 マスダ歯科のインプラント詳細はこちら |
一本のインプラント埋入②▼クリックして開閉できます
- BEFORE

- AFTER

- BEFORE

- AFTER

- BEFORE

- AFTER

- BEFORE

- AFTER

- BEFORE

- AFTER

- BEFORE

- AFTER

| 年代・性別 | 30代・男性 |
|---|---|
| 主訴 | 定期検診で経過を見ていたが、根尖性歯周炎で動揺がみられた |
| 治療部位 | 左下7 |
| 治療内容 | 左下7を抜歯後、骨の回復を待ち、インプラント埋入手術を行った。 インプラント体と骨の結合を約3ヵ月待った後、上部構造を装着した。 |
| 金額(税込) | 約418,000円(税込) |
| 治療期間 | 約3ヵ月(インプラント埋入から上部構造セットまで) 8年経過(2024年4月時点) |
| リスクと副作用 | 術後疼痛・腫脹・インプラント周囲炎 マスダ歯科のインプラント詳細はこちら |
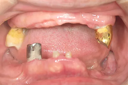
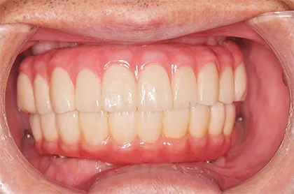
上顎 All on 6 下顎IOD▼クリックして開閉できます
- BEFORE

- AFTER

- BEFORE

- AFTER

| 年代・性別 | 50代・男性 |
|---|---|
| 主訴 | 入れ歯が合わない |
| 治療部位 | 全顎治療 |
| 治療内容 | 上顎臼歯部にインプラントを埋入しプロビジョナルをセット。 その後、上顎前歯部にインプラントを埋入。義歯での生活に配慮した治療計画を立案した。 下顎は義歯で終了の予定であったが「もっとよく噛みたい」と患者様から希望があったため相談の上IOD(インプラントオーバーデンチャー)にて治療を行った。 |
| 金額(税込) | 387,200円(税込) |
| 治療期間 | 1年半
|
| リスクと副作用 | 術後疼痛、血管および神経損傷、上顎洞への穿孔 マスダ歯科のインプラント詳細はこちら |
上下顎ALL on 5(6)▼クリックして開閉できます
- BEFORE

- AFTER

- BEFORE

- AFTER

- BEFORE

- AFTER

- BEFORE

- AFTER

- BEFORE

- AFTER

- BEFORE

- AFTER

| 年代・性別 | 70代・男性 |
|---|---|
| 主訴 | 義歯を入れていたが、全体的に緩い |
| 治療部位 | 上下顎5~5 |
| 治療内容 | 上顎は6本インプラント体を埋入した。 右上12間に対しリッジエキスパンジョンを行い、右上1に対し骨移植を行った。 下顎は5本インプラント体を埋入した。 左下12間に対し骨形成を行い、左下4に対し骨移植を行った。 |
| 金額(税込) | 4,840,000円(税込) |
| 治療期間 | 約1年(上部構造set後約11年経過) |
| リスクと副作用 | 術後疼痛、腫脹、インプラント周囲炎のリスク マスダ歯科のインプラント詳細はこちら |
インプラント1本臼歯部の症例▼クリックして開閉できます
- BEFORE

- AFTER

- BEFORE

- AFTER

- BEFORE

- AFTER

- BEFORE

- AFTER

- BEFORE

- AFTER

- BEFORE

- AFTER

| 年代・性別 | 40代・男性 |
|---|---|
| 主訴 | 左下6欠損のため、インプラント考えている |
| 治療部位 | 左下6 |
| 治療内容 | 口腔内検査と説明を行い、同意書をとった。 手術後、骨結合を約3か月待ち、上部構造の型取りを行い、上部構造を装着した。 |
| 金額(税込) | 423,500円(税込) |
| 治療期間 | 約6ヵ月(上部構造set後約4年経過) |
| リスクと副作用 | 術後疼痛、腫脹、インプラント周囲炎のリスク マスダ歯科のインプラント詳細はこちら |



ホーム
スタッフ紹介
医院・設備紹介
アクセス
お問い合わせ





























