矯正症例紹介
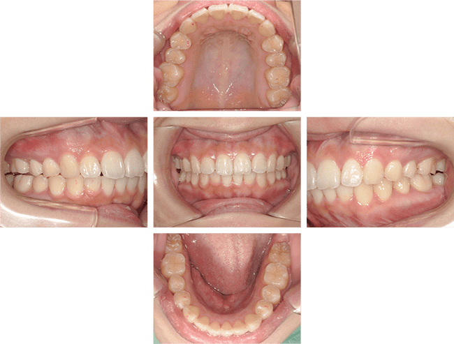
上前歯の突出・下顎のがたつき① ▼クリックして開閉できます
| 年代・性別 | 20代・女性 |
|---|---|
| 診断名 | 上顎前突・下顎の叢生 |
| 使用装置 | マウスピース矯正装置(インビザライン) |
| 治療方法 | マウスピース矯正であるインビザラインにて、①奥歯の遠心移動、②IPR(歯と歯の間を少し削ってスペースを作る方法)、③側方拡大によって、上顎前突と下顎の叢生の改善を行なった |
| 抜歯有無 | 親知らずの抜歯 4本 |
| 金額(税込み) | 検査料:3,300円 矯正治療料:105万6,000円 |
| 治療期間 | 2年6か月 |
| リスクと副作用 | 正中のズレが生じる可能性 アタッチメントの装着・スライス・辺縁隆線・基底結節の削合を必要とする可能性 痛み・歯肉退縮・失活の可能性 ブラックトライアングルが生じる可能性 マスダ歯科の矯正治療詳細はこちら |
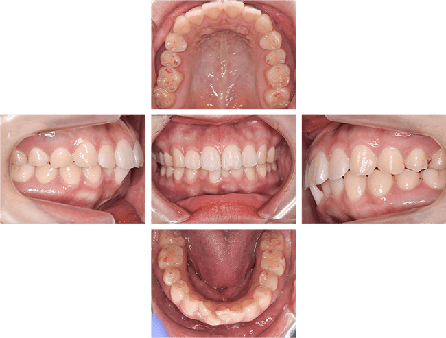
上前歯の突出・下顎のがたつき② ▼クリックして開閉できます
| 年代・性別 | 10代・男性 |
|---|---|
| 診断名 | 上顎前突・下顎の叢生 |
| 使用装置 | マウスピース矯正装置(インビザライン) |
| 治療方法 | 下顎の左右親知らずの抜歯を行い、下顎のスペースを確保した。その後、インビザラインの装置を使用してもらい上顎前突と下顎の叢生の改善を行った。 |
| 抜歯有無 | 下顎 親知らず 2本 |
| 金額(税込み) | 検査料:3,300円 矯正治療料:約90万円 |
| 治療期間 | 2年 |
| リスクと副作用 | アタッチメントの装着・スライスを必要とする可能性 痛み・歯肉退縮の可能性 ブラックトライアングルが生じる可能性 マスダ歯科の矯正治療詳細はこちら |
下顎のズレ(かみ合わせのズレ) ▼クリックして開閉できます
| 年代・性別 | 40代・女性 |
|---|---|
| 診断名 | 下顎の左側変位 |
| 使用装置 | マウスピース矯正装置(インビザライン) |
| 治療方法 | インプラント治療と並行しながらマウスピース矯正を行い、下顎の左側変位改善を行った |
| 抜歯有無 | 無 |
| 金額(税込み) | 検査料:3,300円 矯正治療料:100万円 インプラント治療料:38万円 |
| 治療期間 | 3年6か月(インプラント治療を行ったため) |
| リスクと副作用 | 正中のズレが改善しない可能性 歯の移動量が大きいため歯肉退縮の可能性 スライス等歯の削合の必要性 マスダ歯科の矯正治療詳細はこちら |
八重歯 ▼クリックして開閉できます
| 年代・性別 | 20代・女性 |
|---|---|
| 診断名 | 上顎犬歯叢生 |
| 使用装置 | マウスピース矯正装置(インビザライン) |
| 治療方法 | インビザラインの装置を使用してもらい上顎犬歯の叢生の改善を行った。※従来の考えではワイヤー矯正や抜歯が必要と考えられる症例だが、本人の希望でインビザラインによる矯正を行った。 |
| 抜歯有無 | 無(抜歯せずに終了できた) |
| 金額(税込み) | 検査料:3,300円 矯正料:93万円 |
| 治療期間 | 3年 |
| リスクと副作用 | ワイヤー矯正の場合、抜歯の必要な症例の為、歯列の拡大やスライスでも歯の動きが遅い際には、第一小臼歯の抜歯やワイヤー矯正も検討。 歯の移動量が大きいためブラックトライアングルが生じる可能性がある。マスダ歯科の矯正治療詳細はこちら |
前歯のがたつき① ▼クリックして開閉できます
| 年代・性別 | 10代・男性(埼玉県内強豪高校野球部) |
|---|---|
| 診断名 | 前歯部の叢生 |
| 使用装置 | ワイヤー矯正装置・マウスピース矯正装置(インビザライン) |
| 治療方法 | 最初に上左右4番と左下3番の抜歯をしワイヤー矯正で前歯部の叢生の改善を行い、その後インビザラインの装置を使用してもらい最終調整を行った。野球選手のためワイヤー期間をなるべく短くしてインビザラインを早期併用した。 |
| 抜歯有無 | 有 |
| 金額(税込み) | 診断料:3,300円 矯正料:103万4,000円 抜歯1本あたり1万1,000円(別途) |
| 治療期間 | 3年 |
| リスクと副作用 | ・スライス・辺縁隆線の削合の可能性 ・終了時に正中のズレが生じる可能性 ・移動距離が大きい為、ブラックトライアングルが生じる可能性 マスダ歯科の矯正治療詳細はこちら |
前歯のがたつき② ▼クリックして開閉できます
| 年代・性別 | 10代・女性 |
|---|---|
| 診断名 | 前歯部の叢生 |
| 使用装置 | ワイヤー矯正・マウスピース矯正装置(インビザライン) |
| 治療方法 | 最初に上顎左右4を抜歯し一週間後にワイヤー矯正を開始。その後マウスピース矯正で前歯の叢生改善を行った。 |
| 抜歯有無 | 有(上顎左右4番) |
| 金額(税込み) | 検査料:3,300円 抜歯料金:1万1,000円(1本につき) 矯正料:96万1,200円 |
| 治療期間 | 4年 |
| リスクと副作用 | ・正中のズレが生じる可能性 ・アタッチメントの装着・スライス・辺縁隆線・基底結節の削合を必要とする可能性 ・痛み・歯肉退縮・失活の可能性 ・ブラックトライアングルが生じる可能性 マスダ歯科の矯正治療詳細はこちら |
前歯のがたつき③ ▼クリックして開閉できます
| 年代・性別 | 10代・女性 |
|---|---|
| 診断名 | 前歯部の叢生 |
| 使用装置 | マウスピース矯正装置(インビザライン) |
| 治療方法 | マウスピース矯正装置を1日20時間以上つけてもらい、上下の叢生の改善を行った。 |
| 抜歯有無 | 無 |
| 金額(税込み) | 検査料:3,300円 矯正料:91万3,000円 |
| 治療期間 | 2年 |
| リスクと副作用 | ・正中のズレが生じる可能性 ・アタッチメントの装着・スライス・辺縁隆線・基底結節の削合を必要とする可能性 ・痛み・歯肉退縮・失活の可能性 ・ブラックトライアングルが生じる可能性 マスダ歯科の矯正治療詳細はこちら |
前歯のがたつき④ ▼クリックして開閉できます
| 年代・性別 | 20代・男性 |
|---|---|
| 診断名 | 上下顎の叢生 |
| 使用装置 | マウスピース矯正装置(インビザライン) |
| 治療方法 | マウスピース矯正装置を1日20時間以上つけてもらい、上下の叢生の改善を行った。 |
| 抜歯有無 | 無 |
| 金額(税込み) | 検査料:3,300円 矯正料:91万3,000円 |
| 治療期間 | 2年 |
| リスクと副作用 | ・正中のズレが生じる可能性 ・アタッチメントの装着・スライス・辺縁隆線・基底結節の削合を必要とする可能性 ・痛み・歯肉退縮・失活の可能性 ・ブラックトライアングルが生じる可能性 マスダ歯科の矯正治療詳細はこちら |
上顎前歯部がたつきの症例 ▼クリックして開閉できます
| 年代・性別 | 30代・女性 |
|---|---|
| 診断名 | 上顎前歯部叢生 |
| 使用装置 | マウスピース矯正装置(インビザライン) |
| 治療方法 | 1日20時間以上マウスピースを装着してもらい、上顎前歯部叢生の改善を行った。 |
| 抜歯有無 | 無 |
| 金額(税込み) | 検査料:3,300円 矯正料:102万3,000円 |
| 治療期間 | 約2年 |
| リスクと副作用 | ・アタッチメントの装着、スライスが必要 ・ブラックトライアングルが生じる可能性、辺縁隆線の削合を行う可能性 ・正中のズレが生じる可能性 ・虫歯のリスク マスダ歯科の矯正治療詳細はこちら |
オープンバイト ▼クリックして開閉できます
| 年代・性別 | 30代・女性 |
|---|---|
| 診断名 | 開咬 |
| 使用装置 | マウスピース矯正装置(インビザライン) |
| 治療方法 | インビザラインによるマウスピース矯正を行い、開咬の改善を行った。一般的に開咬や歯列の拡大の治療はインビザラインが得意とされています。 |
| 抜歯有無 | 無 |
| 金額(税込み) | 検査料:3,300円 矯正料:94万6,000円 |
| 治療期間 | 1年10か月(予定より早く終了) |
| リスクと副作用 | ・スライス・辺縁隆線の削合の可能性 ・終了時に正中のズレが生じる可能性 ・移動距離が大きい為、ブラックトライアングルが生じる可能性と知覚過敏及び神経が失活する可能性 マスダ歯科の矯正治療詳細はこちら |
両顎の歯並びの乱れ ▼クリックして開閉できます
| 年代・性別 | 10代・女性 |
|---|---|
| 診断名 | 上顎と下顎の叢生 |
| 使用装置 | マウスピース矯正装置(インビザライン) |
| 治療方法 | 左下の親知らずの抜歯を行い、遠心移動を上下行い、インビザラインによって上下の叢生の改善を行った。 |
| 抜歯有無 | 親知らずの抜歯 1本 |
| 金額(税込み) | 検査料:3,300円 矯正料:100万4,400円 親知らずの抜歯(1本):2万円 |
| 治療期間 | 3年6か月 |
| リスクと副作用 | ・正中のズレが生じる可能性 ・アタッチメントの装着・スライス・辺縁隆線・基底結節の削合を必要とする可能性 ・痛み・歯肉退縮・失活の可能性 ・ブラックトライアングルが生じる可能性 マスダ歯科の矯正治療詳細はこちら |
上下顎の歯の乱れの改善 ▼クリックして開閉できます
| 年代・性別 | 20代・女性 |
|---|---|
| 診断名 | 上下顎の叢生 |
| 使用装置 | ワイヤー矯正装置・マウスピース矯正装置(インビザライン) |
| 治療方法 |
ワイヤー矯正を約半年間行った後、インビザライン矯正に移行した。 インビザラインは1日20時間以上つけてもらい、上下顎の叢生を改善した。 |
| 抜歯有無 | 有 |
| 金額(税込) |
検査料:3,300円 矯正治療料:103万6,800円 |
| 治療期間 | 2年6か月 |
| リスクと副作用 |
アタッチメント装着・スライス・辺縁隆線削合・抜歯行う可能性 正中のズレが生じる可能性 痛み・歯肉退縮・失活の可能性 ブラックトライアングルが生じる可能性 虫歯のリスク マスダ歯科の矯正治療詳細はこちら |
上顎前歯部の叢生 ▼クリックして開閉できます
| 年代・性別 | 16歳・男性 |
|---|---|
| 診断名 | 前歯部の叢生 |
| 使用装置 | ワイヤー矯正・マウスピース矯正装置(インビザライン) |
| 治療方法 | 上下左右4番を抜歯し、ワイヤー矯正を行った。その後インビザライン矯正を行い、前歯部叢生の改善を行った。 |
| 抜歯有無 | 有 |
| 金額(税込) |
診断料:3,300円 抜歯費用:11,000円(一本当たり) 矯正料:105万6,000円 |
| 治療期間 | 2年半 |
| リスクと副作用 |
スライス・辺縁隆線・基底結節の削合の可能性 終了時に正中のズレが生じる可能性 痛み・歯肉退縮の可能性 ブラックトライアングルが生じる可能性 マスダ歯科の矯正治療詳細はこちら |
上下前歯のがたつき・開口 ▼クリックして開閉できます
| 年代・性別 | 10代・女性 |
|---|---|
| 診断名 | 上下前歯部の叢生・開口 |
| 使用装置 | マウスピース矯正装置(インビザライン) |
| 治療方法 | インビザラインの装置を使用してもらい叢生と開口の改善を行った。 |
| 抜歯有無 | 無(有の場合は1本あたり税込11,000円かかります) |
| 金額(税込) |
診断料:3,300円 矯正料:86万円 |
| 治療期間 | 2年半 |
| リスクと副作用 |
スライス・辺縁隆線の削合の可能性 終了時に正中のズレが生じる可能性 移動距離が大きい為、ブラックトライアングルが生じる可能性 マスダ歯科の矯正治療詳細はこちら |



ホーム
スタッフ紹介
医院・設備紹介
アクセス
お問い合わせ












































